빠른 상담신청

[자세히 보기]
메뉴펼침 버튼
상단헤더 미니배너이미지

SAERO DENTAL CLINIC

커뮤니티

내 치아처럼 세심하게 치료하는 새로치과의원입니다.

SAERO DENTAL CLINIC

커뮤니티

내 치아처럼 세심하게 치료하는 새로치과의원입니다.

SAERO DENTAL CLINIC

커뮤니티

내 치아처럼 세심하게 치료하는
새로치과의원입니다.

홈버튼 아이콘

치료사례

네비게이션 임플란트

최고관리자

0건

23-11-07 18:40

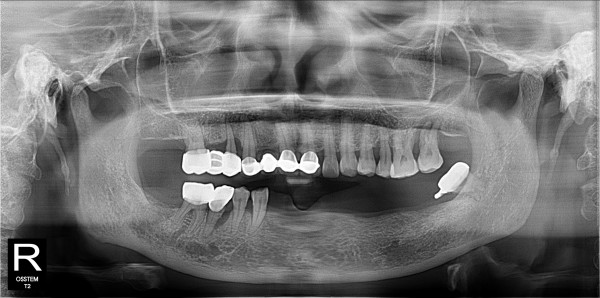
본문

하악 틀니에서 네이게이션 임플란트

댓글목록

등록된 댓글이 없습니다.